时间:2025-11-13 发布人:小编 浏览:
近日,腾冲市中医医院心血管病科介入团队在昆明医科大学第一附属医院专家张明国教授的指导下,成功开展“一站三式”介入新技术,为一名房颤伴房间隔缺损患者一次性解决多种心脏问题,标志着医院在复杂心血管疾病介入治疗领域取得重大突破。
患者为一名老年女性,因”反复心悸、胸闷1年”入院。完善相关检查,心电图提示阵发性心房颤动,心脏超声提示先天性房间隔缺损,同时存在左向右分流。针对患者病情,传统治疗方案需分阶段进行房颤射频消融术和房间隔缺损封堵术,但患者年龄较大,多次手术风险高、住院周期长。经心血管病科任龙成主任团队与多学科专家会诊,决定采用“房颤射频消融+左心耳封堵+房间隔缺损封堵”一站式介入技术。

术前心脏超声结果示:左房增大,房间隔左向右分流影,分流束宽8-11mm
手术过程中,团队首先利用Carto三维电生理标测系统完成左心房三维重建,精准定位房颤病灶,随后通过STSF高效消融导管实施射频治疗,使患者心律恢复窦性。针对房间隔缺损问题,团队采用8F一次性心腔内超声导管引导下房间隔穿刺技术,确认无左心耳血栓后,同步植入左心耳封堵器预防血栓栓塞,并完成房间隔缺损封堵。整个手术历时约2小时,术中患者生命体征平稳,术后复查显示心电图恢复正常,心脏超声提示封堵器位置良好,未出现并发症。

术中,患者在射频消融结束后观察一段时间无不良反应,遂继续行左心耳封堵术。

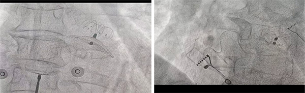
造影:通过造影可见心耳为菜花型,心耳存在两个分叶,且心耳内肌小梁很发达,预定进行嵴外封堵。

测量:通过测量心耳的锚定区为24-25mm,封堵区为29-31mm,综合选择2834LAmbre进行封堵尝试。

植入:采用渐进式的方式植入封堵器,过程中遇到了一定的困难,固定盘下缘进入心耳后整个盘无法完全展开,在保证固定盘展开的情况下无法将其送入心耳;考虑原因为伞盘过大,决定更换封堵器。

再次测量:更换封堵方案,再次测量心耳的锚定区为20-23mm,封堵区为29mm,综合选择2436LAmbre进行封堵。

植入过程:通过渐进式植入固定盘,在右肩位及肝位确定固定盘抵达预定位置且完全展开。

(造影)

(牵拉稳定)

(超声检查)
植入过程:释放封堵盘后造影可见下缘存在少量残余分流,通过超声观察为靠近二尖瓣位置贴靠不佳,但术中评估钢缆拉力明显,预估释放后能够有效贴合,牵拉15s无位移,可以释放。

释放过程:释放封堵器的过程能够看到明显贴靠,通过造影发现先前的残余分流消失,未见新增的残余分流。

通过超声可见封堵器外盘形态良好,未见明显残余分流;可再行房间隔缺损封堵术。

房缺封堵器植入后推拉稳定,形态良好,通过经胸彩超未见残余分流,遂释放封堵器。

术毕,未见心包积液,穿刺部位加压止血,医护人员护送患者安返病房。
该技术通过单次手术解决房颤心律控制、卒中预防及结构性心脏病修复三大问题,显著降低患者医疗成本与风险。与传统分阶段手术相比,“一站三式”方案减少患者麻醉次数、缩短住院时间,尤其适合高龄、合并症多的复杂病例。
此次手术的成功实施,得益于腾冲市中医医院与上级医院的技术联动,以及医院心血管病科在心脏电生理、结构性心脏病介入领域的长期积累。未来,腾冲市中医医院将持续推进心血管疾病诊疗技术创新,为更多患者提供高效、精准的一站式医疗服务。
上一篇:疼痛怎么办?→来这里看
下一篇:没有了